Counting Ribs On Cxr

Air Bronchogram

Air Bronchogram

Interpreting A Chest X Ray Stepwards

Interpreting A Chest X Ray Stepwards

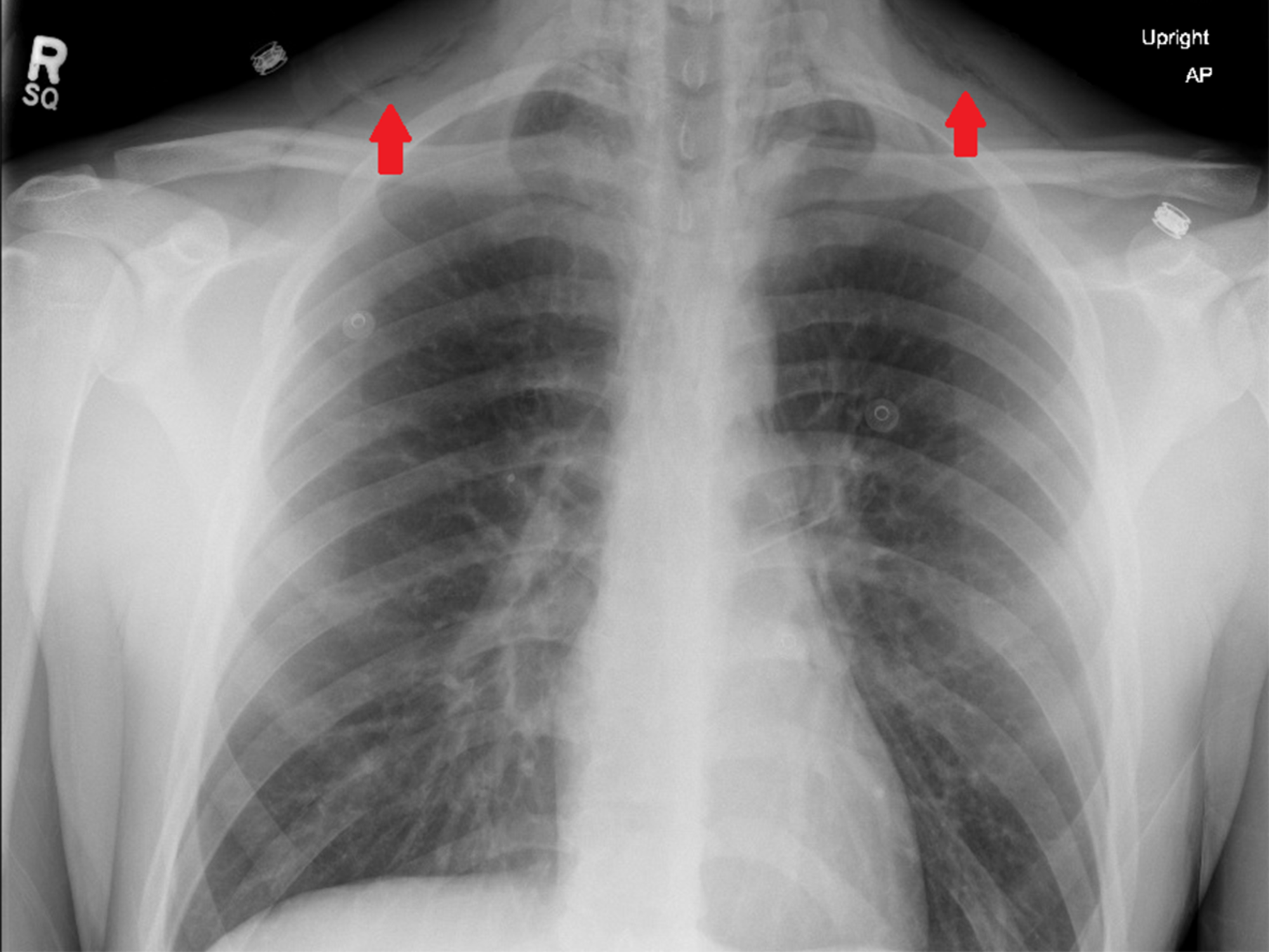
Good Positioning Is Key To Pa Chest X Ray Exams

Good Positioning Is Key To Pa Chest X Ray Exams


Chest X Ray Interpretation

Chest X Ray Interpretation

Http Booksite Elsevier Com Samplechapters 9780443069222 9780443069222 Pdf

Http Booksite Elsevier Com Samplechapters 9780443069222 9780443069222 Pdf

Cureus Silent Breathlessness A Case And Brief Review Of

Cureus Silent Breathlessness A Case And Brief Review Of

Best Of Finding Rib Fractures On Chest X Ray The Trauma Pro

Best Of Finding Rib Fractures On Chest X Ray The Trauma Pro

Chest X Ray Interpretation And Analysis Jan 30 Flashcards Memorang

Chest X Ray Interpretation And Analysis Jan 30 Flashcards Memorang

How To Read Chest X Rays International Emergency Medicine

How To Read Chest X Rays International Emergency Medicine

Basics Of Reading Chest X Ray Nurse

Basics Of Reading Chest X Ray Nurse

Http Booksite Elsevier Com Samplechapters 9780443069222 9780443069222 Pdf

Http Booksite Elsevier Com Samplechapters 9780443069222 9780443069222 Pdf

Thorax Radiologic Anatomy

Thorax Radiologic Anatomy